Radiological Services

Radiology is a branch of medicine that uses imaging technology to diagnose and treat disease. Radiology may be divided into two different areas, diagnostic radiology and interventional radiology. Doctors who specialize in radiology are called radiologists.

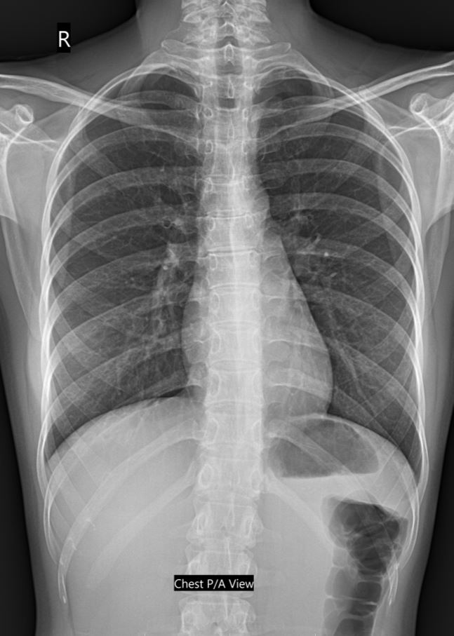
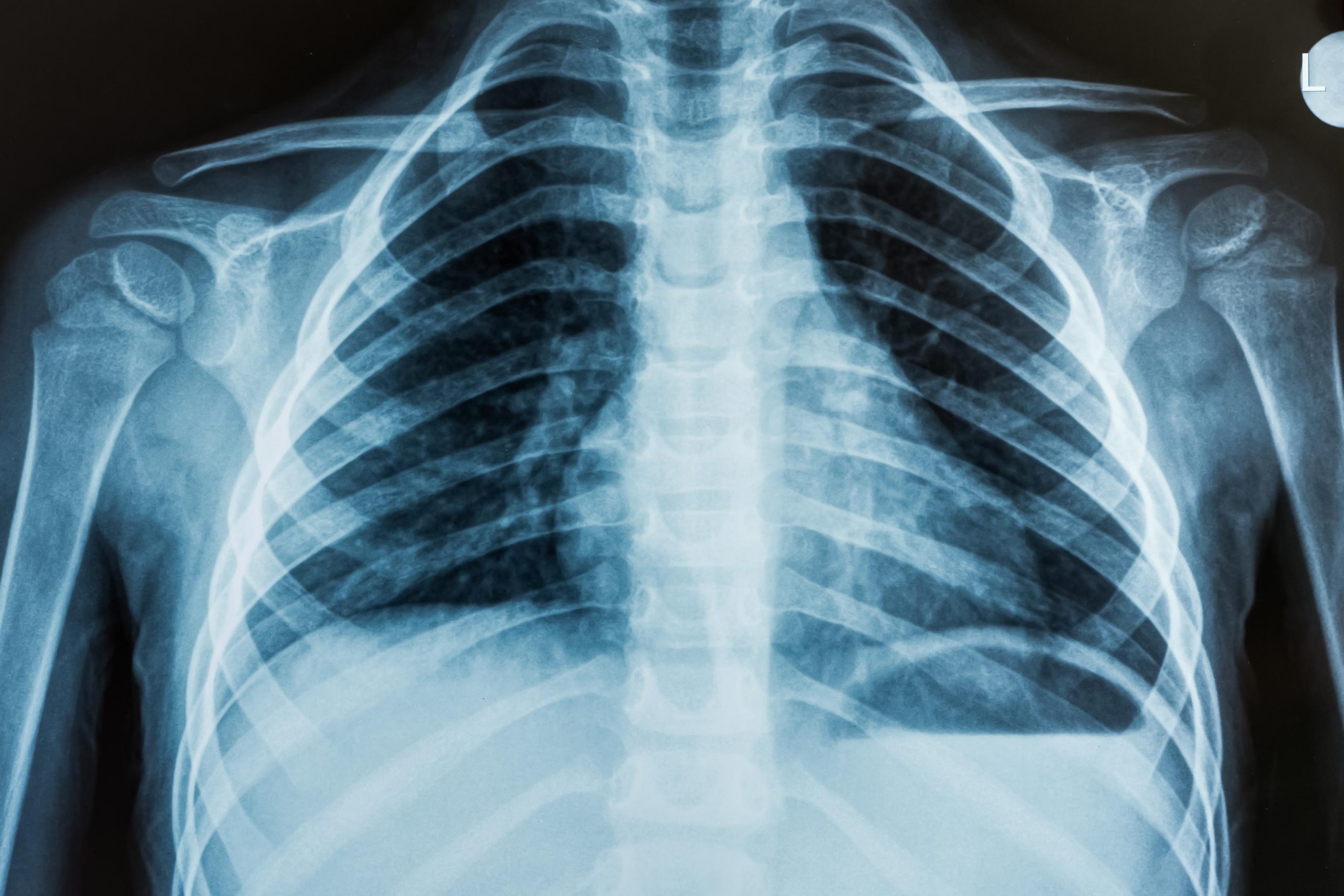
X-Rays

Nulla viverra egestas sapien mollis a molest ullamcorper aenean.

Cardiac Imaging

Magna non in suspendisse arcu, lacus ut euismod arcu velit amet lacinia.

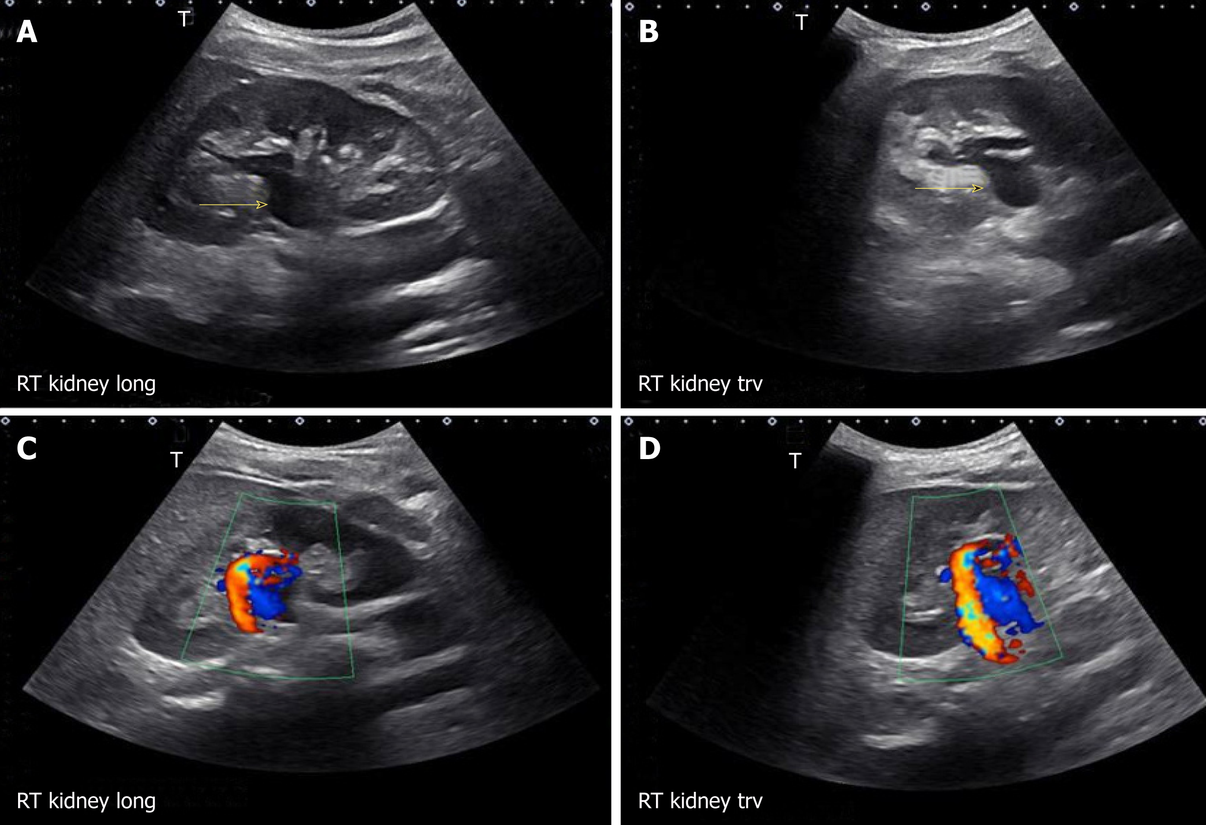
Ultrasound Imaging

Est velit cursus eu in amet tortor, in egestas tortor euismod diam.

Latest Case Studies

You can find all kind of X-Ray, Cardiac Imaging, Ultrasound Imaging test exam report here by all by experienced doctors.

Address

Basair (Jamalpur bazaar) Kaligonj, Gazipur Dhaka, Bangladesh

Call Us

+880 1940333382-86

Email Us

info@newlabaidhospital.com